Skip to main content
School of Engineering Homepage
Healthcare Innovation and Design

Current Projects and Partners

Students and faculty collaborate with external partners to solve real-world, interdisciplinary challenges that transform global health.

 
Virtual Reality for Neurofeedback/Mandala Flow State
Virtual Reality for Neurofeedback/Mandala Flow State
The Virtual Reality (VR) Neurofeedback project aims to develop neurofeedback therapy in a VR environment. Neurofeedback, a branch of digital therapeutics, is the modulation of brain activity through a feedback loop. We use intuitive feedback cues and immersive experiences to maximize user engagement in neurofeedback training. Greater attentiveness and motivation in-session promotes the habitual use of the therapy thereby improving the efficacy of the neurobehavioral modification. This platform also enables in-home use with remote monitoring, which increases accessibility and lowers the cost of therapy. Our first implementation is Mandala Flow State. The design of the experience was inspired by Tibetan Buddhist mandalas and music in partnership with a special exhibit at the SF Asian Art Museum. Currently, the team is creating a VR video game that targets sustained attention skills. Students participate in VR design and software development, EEG analysis, and behavioral assessments. 
 

 
eVision: Machine Learning Tool for Influenza Forecasting
eVision: Machine Learning Tool for Influenza Forecasting
In collaboration with Cepheid, Inc., this project employs Long Short-Term Memory (LSTM) neural network data science techniques to predict future influenza vectors. According to the United States Center for Disease Control and Prevention (CDC) estimates, close to 60 million people in the US suffered from Influenza-Like Illnesses (ILI) in the 2019-20 flu season. Of this total, 410,000 to 740,000 were hospitalized and 24,000 to 62,000  succumbed to the disease. An early warning mechanism can alert pharmaceutical suppliers, diagnostic companies, healthcare providers, and governments to the trends of the influenza season well in advance, and would serve as a significant step in helping to combat this communicable disease and reduce mortality rates. The eVision (Epidemic Vision) machine learning tool currently predicts the trend of influenza cases throughout the flu season with an accuracy of 90.38%, 91.43%, and 81.74% for 3, 7, and 14 weeks in advance predictions respectively. 
 

 
Human-centered Electric Prosthetic (HELP) Hand
Human-centered Electric Prosthetic (HELP) Hand
This project is a collaboration between SCU’s Robotic Systems Lab, Healthcare Innovation and Design Program, and BMVSS, the world's largest organization for rehabilitating the disabled, to develop an inexpensive anthropomorphic prosthetic with a surface myoelectric interface capable of supporting gripping tasks. Areas of the world like India, are home to a large number of trans-radial amputees. The social stigma against and lack of government support for these individuals often make their amputations socially and economically devastating. With this underserved market in mind, the team has produced a working prototype—the HELP Hand— that meets the design criteria of cost, function, and appearance. The prototype is undergoing design refinements for usability, durability, and manufacturability and will be field-tested and evaluated. Results will inform a redesign effort next year. Achieving the goals of this collaborative project leveraged skills and inputs from public health, bioengineering, mechanical engineering, and robotics disciplines.
 

 
Data Visualization and Analysis Tools for Digitization of Smell and Taste
Data Visualization and Analysis Tools for Digitization of Smell and Taste
In collaboration with Aromyx, a start-up company that builds platforms for the digital capture of scent and taste for improved product quality and disease detection, SCU is supporting the development of platforms to visualize and analyze novel olfactory data and allow comparison of odors and exploration of the odor space. Students working on the project collect data to determine how people experience taste and smell, build auxiliary databases and models to quantify the collected information about taste and smell, and design front-end web applications to visually represent smell and taste sensations. By enabling the digitization of olfactory information, this project aims to bridge an information gap that presents a significant limitation to the food and beverage industry, wherein new product development is empirical and relies on tasting panels, as well as the healthcare industry, as sense of smell is closely related to various human disease states.
 

 
Alzheimer's Disease Clinical Decision Support Tool
Alzheimer's Disease Clinical Decision Support Tool
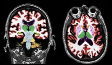
A new project for 2020-2021, an SCU team is collaborating with CorTechs Labs, a medical imaging and genetics AI company, to support the development of clinical decision support tools for Alzheimer's Disease. Increasingly, data science techniques are being deployed to aid physicians with the increasing complexity of diagnostics and patient care. One element of these tools is the machine learning algorithms that drive the decision-making process. The other key element consists of a user interface for physicians. There is much need for a supportive tool to serve non-specialists who need to make a confident diagnosis that is dependent upon numerous and multi-faceted data. One such area is in diagnosing memory disorders. Students will build a tool that synthesizes a range of medical data to classify a patient on the Alzheimer’s disease spectrum.
 

 
Virtual Reality Training Modules for Clinical Environments
Virtual Reality Training Modules for Clinical Environments
Immersive virtual training can be equivalent to real-world training, with many studies showing that training and onboarding time has been reduced considerably. Given the need to minimize person-to-person contact paired with the need for qualified diagnostic testing technicians, a virtual training simulator will be a valuable tool for internal and external training. SCU partnered with Cepheid, Inc. with the goal of demonstrating the ease of use and technological advantages of their GeneXpert system. The aim of the collaboration is to develop a Virtual Reality training simulator of a virtual clinic environment in which users take swab samples from a patient. The procedure effectively delivers the information outlined in an instructional manual in a brief, gamified experience that promises to reliably cut down training time. Students contributing to this project develop skills in game design, VR development, and user studies.
 

 
Applied Machine Learning in Medical Imaging
Applied Machine Learning in Medical Imaging
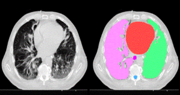
In collaboration with Varian Medical Systems, this project explores and applies machine learning techniques for medical image analysis. Radiotherapy planning for cancers and other disease states is a complex and time-consuming process that may be accelerated and improved by the application of machine learning techniques. The SCU team is expanding upon its previous effort, which developed automated segmentation of organs on CT images and the creation of CT and MRI image classifiers with TensorFlow tools. Students working on this project learn about medical imaging, image analysis, and the application of deep learning methods to enhance therapeutic outcomes.
 

 
Market Research on XaaS Usage in Healthcare
Market Research on XaaS Usage in Healthcare
In collaboration with Varian Medical Systems, this project aims to provide a playbook on how to best offer, sell, and market a XaaS model in the medical industry. XaaS is a general category of services related to cloud computing and remote access, such as software and technology. Service-based products are becoming more prominent and desirable in the context of expanding reliance on telehealth. The research aims to uncover the benefits of this type of model (e.g. affordability, reliability, and increased security) for potential users in the sector, and provide guidance to them on how to offer secure service-based software and technology for their customers. Students gain hands-on experience conducting primary, secondary, qualitative, and quantitative research. The team is studying marketing strategies, internal transition (revenue management and sales team motivation), and how to mitigate security concerns.
 

 
Gastrointestinal Myoelectric Activity Phantom
Gastrointestinal Myoelectric Activity Phantom
In collaboration with G-Tech Medical, who is developing a wearable patch that provides non-invasive, continuous monitoring of the motor activity of the digestive tract, this project aims to develop in vitro platforms that can emulate the electrical properties of human tissues. Such tissue-mimicking phantoms can be used in the early-stage testing of noninvasive electromyographic devices as an alternative to human testing and meet the medical device industry’s need for a platform to test biowearable devices. The students aim to develop a prototype phantom that generates electrical signals emulating activity of the gastrointestinal tract, as a part of their senior design capstone project. The phantom, developed under the mentorship of the team at G-Tech Medical, will be used in performance characterization and formal validation of the total system, from wearable patch through output of the proprietary data processing algorithms.
 
Apr 12, 2021
--

Contact Us

Director: Dr. Prashanth Asuri

Santa Clara University
School of Engineering
500 El Camino Real
Santa Clara, CA 95053

Heafey-Bergin, Bldg. 202, Rm. 132

408-554-4874